Ards - Formal Guidelines Management Of Acute Respiratory Distress Syndrome Annals Of Intensive Care Full Text : Most people who get ards are already at the hospital for trauma or illness.

Ards - Formal Guidelines Management Of Acute Respiratory Distress Syndrome Annals Of Intensive Care Full Text : Most people who get ards are already at the hospital for trauma or illness.. Acute respiratory distress syndrome (ards) is a medical condition in which the lungs are not working properly and oxygen blood levels are too low. The american lung association (ala) says ards is a rapidly progressive disease that can occur in critically ill patients—most notably now, in those diagnosed with severe illness resulting from. This month marks the 50th anniversary of the first description of the condition now termed the acute respiratory distress syndrome, or ards. Ards is a type of acute respiratory failure caused by fluid buildup in your lungs. Acute respiratory distress syndrome (ards) occurs when fluid builds up in the tiny, elastic air sacs (alveoli) in your lungs.

Fluid leaks from small blood vessels and collects in tiny. For those who survive, a decreased quality of life is common. Causes may include sepsis, pancreatitis, trauma, pneumonia, and aspiration. Ards is a type of acute respiratory failure caused by fluid buildup in your lungs. But even if they survive, it's a long road to recovery.

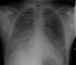
Managing Ards With Noninvasive Ventilation Niv Medmastery
Managing Ards With Noninvasive Ventilation Niv Medmastery from www.medmastery.com
This deprives your organs of the oxygen they need to function. On a microscopic level, the disorder is associated with capillary endothelial injury and diffuse alveolar damage. The fluid prevents your lungs from filling with oxygen. Care guide for ards (acute respiratory distress syndrome) (discharge care). The fluid keeps your lungs from filling with enough air, which means less oxygen reaches your bloodstream. Acute respiratory distress syndrome (ards) is a serious lung condition that causes low blood oxygen. People who develop ards often are very ill with another disease or have major injuries. It occurs when fluid fills up the air sacs in your lungs.

This deprives your organs of the oxygen they need to function.

On a microscopic level, the disorder is associated with capillary endothelial injury and diffuse alveolar damage. Most people who get ards are already at the hospital for trauma or illness. The outcomes tend to be better in younger patients, trauma patients and when ards is caused by blood transfusions. Acute respiratory distress syndrome (ards) is a condition that causes fluid to build up in your lungs so oxygen can't get to your organs. The american lung association (ala) says ards is a rapidly progressive disease that can occur in critically ill patients—most notably now, in those diagnosed with severe illness resulting from. Most people who develop ards are in the hospital for other serious health problems. In ards, fluid builds up inside the tiny air sacs of the lungs, and surfactant breaks down. The condition causes fluid to accumulate in the lungs, which in turn reduces blood oxygen to dangerously low levels. The diagnosis of ards is based on fulfilling three criteria: Care guide for ards (acute respiratory distress syndrome) (discharge care). People who develop ards are usually ill due to another disease or a major injury. Possible causes, signs and symptoms, standard treatment options and means of care and support. Ards is a medical emergency.

Fluid leaks from small blood vessels and collects in tiny. The fluid keeps your lungs from filling with enough air, which means less oxygen reaches your bloodstream. For those who survive, a decreased quality of life is common. Acute respiratory distress syndrome affects 200,00 people in the us each year. Organs such as your kidneys can shut down from a lack of oxygen.

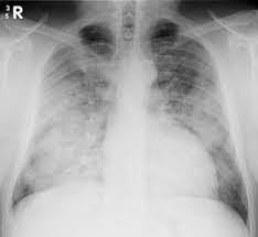
Acute Respiratory Distress Syndrome Wet Lung
Acute Respiratory Distress Syndrome Wet Lung from cdn-prod.medicalnewstoday.com
Ards, or acute respiratory distress syndrome, is a lung condition that leads to low oxygen levels in the blood. Covid‐19 ards is a predictable serious complication of covid‐19 that requires early recognition and comprehensive management this disease is still too strange to us, and there are too many doubts, says dr ling qin (lq), after reviewing more than 400 patients with coronavirus disease 2019 (covid‐19) pneumonia in wuhan union hospital, china. In ards, fluid builds up inside the tiny air sacs of the lungs, and surfactant breaks down. Acute respiratory distress syndrome (ards) is a form of acute lung injury and occurs as a result of a severe pulmonary injury that causes alveolar damage heterogeneously throughout the lung. Most people who get ards are already at the hospital for trauma or illness. Causes may include sepsis, pancreatitis, trauma, pneumonia, and aspiration. Ards is a type of acute respiratory failure caused by fluid buildup in your lungs. Acute respiratory distress syndrome (ards) is a medical condition in which the lungs are not working properly and oxygen blood levels are too low.

Ards is a serious condition that can be frightening for patients and their loved ones.

Acute respiratory distress syndrome, or ards, is an inflammatory lung injury that happens when fluids build up in small air sacs (called alveoli) in the lungs. Causes may include sepsis, pancreatitis, trauma, pneumonia, and aspiration. This lecture will cover ards pathophysiolo. It occurs when fluid fills up the air sacs in your lungs. Acute respiratory distress syndrome (ards) occurs when fluid builds up in the tiny, elastic air sacs (alveoli) in your lungs. Acute respiratory distress syndrome (ards) is a severe lung condition. Care guide for ards (acute respiratory distress syndrome) (discharge care). This month marks the 50th anniversary of the first description of the condition now termed the acute respiratory distress syndrome, or ards. The outcomes tend to be better in younger patients, trauma patients and when ards is caused by blood transfusions. Acute respiratory distress syndrome affects 200,00 people in the us each year. People who develop ards are usually ill due to another disease or a major injury. The american lung association (ala) says ards is a rapidly progressive disease that can occur in critically ill patients—most notably now, in those diagnosed with severe illness resulting from. On a microscopic level, the disorder is associated with capillary endothelial injury and diffuse alveolar damage.

The outcomes tend to be better in younger patients, trauma patients and when ards is caused by blood transfusions. This lecture will cover ards pathophysiolo. Breathing becomes difficult and oxygen cannot get into the body. Too much fluid in your lungs can lower the amount of oxygen or. Symptoms include shortness of breath (dyspnea), rapid breathing (tachypnea), and bluish skin coloration (cyanosis).

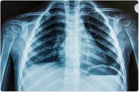
References In Clinical Trials In Acute Respiratory Distress Syndrome Challenges And Opportunities The Lancet Respiratory Medicine
References In Clinical Trials In Acute Respiratory Distress Syndrome Challenges And Opportunities The Lancet Respiratory Medicine from els-jbs-prod-cdn.jbs.elsevierhealth.com
The acute respiratory distress syndrome (ards) is a common cause of respiratory failure in critically ill patients and is defined by the acute onset of noncardiogenic pulmonary oedema, hypoxaemia and the need for mechanical ventilation. The fluid prevents your lungs from filling with oxygen. In ards, fluid builds up inside the tiny air sacs of the lungs, and surfactant breaks down. People who develop ards are usually ill due to another disease or a major injury. Ards is a medical emergency. Acute respiratory distress syndrome, or ards, is an inflammatory lung injury that happens when fluids build up in small air sacs (called alveoli) in the lungs. Possible causes, signs and symptoms, standard treatment options and means of care and support. Acute respiratory distress syndrome (ards) is a condition that causes fluid to build up in your lungs so oxygen can't get to your organs.

Fluid leaks from small blood vessels and collects in tiny.

This month marks the 50th anniversary of the first description of the condition now termed the acute respiratory distress syndrome, or ards. Breathing becomes difficult and oxygen cannot get into the body. In ards, fluid builds up inside the tiny air sacs of the lungs, and surfactant breaks down. Acute respiratory distress syndrome (ards) is a condition that causes fluid to build up in your lungs so oxygen can't get to your organs. Acute respiratory distress syndrome (ards) is a form of acute lung injury and occurs as a result of a severe pulmonary injury that causes alveolar damage heterogeneously throughout the lung. The condition leads to a buildup of fluid in the air sacs which prevents enough oxygen from passing into the bloodstream. The authors of this review discuss our current understan. Ards is a medical emergency. Acute respiratory distress syndrome (ards) is a serious lung condition that causes low blood oxygen. Too much fluid in your lungs can lower the amount of oxygen or. For those who survive, a decreased quality of life is common. Ards progresses through several phases after a direct pulmonary or indirect extrapulmonary insult. The diagnosis of ards is based on fulfilling three criteria:

Komentar